Müasir avadanlıqlarla təchiz edilmiş bizim klinika yüksək keyfiyyətli stomatoloji xidmət göstərir.
Məqsədimiz pasientlərdə ağrısız estetik və funksional müalicə aparmaqdır. Və həkimlərimiz bu yolda çox çalışırlar.
Klinikanın bütün həkimləri sertifikatlı stomatoloqlardır , daim öz peşəkar bacarıqlarını artırır, beynəlxalq konfranslarda və master-klaslarda iştirak edirlər.
Biz stomatologiyada ən yaxşısı üçün çalışırıq.

İş vaxtları

Yazılar

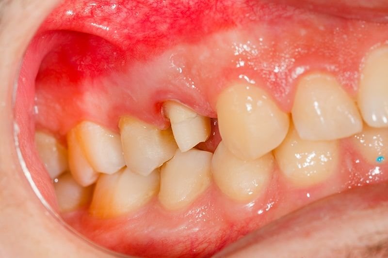
Diş əti qanaması

Dişəti xəstəliklərinin ilk və ən əhəmiyyətli əlaməti dişəti qanamasıdır. Sağlam dişəti qanamaz. Genetik amillər, siqaret, hormonal dəyişikliklər, düzgün olmayan ağız gigiyenası, dərman istifadəsi, diabet, düzgün hazırlanmamış qapaq və ya körpülər, düzgün

Ardı

Dişlərdə ən çox rast gəlinən – 5 xəstəlik

Stomatoloji xəstəliklər insanların 95% -nə təsir edir. Dişləri sıradan çıxaran səbəb bir deyil, amillərin birləşməsidir: qidalanma, irsiyyət, tüpürcəkdəki mikroorqanizmlər və təbii olaraq zəif ağız gigiyenası. Kariyes dişlərdə və boşluqlarda tünd (bəzən

Ardı

Uşaqlarda dişlərin qaralması niyə baş verir?

Uşaqların süd dişlərinin qaralması — valideynləri narahat edən tez-tez rast gəlinən bir problemdir. Adətən, süd dişləri açıq rəngdə olur və rəngdə hər hansı bir dəyişiklik ağız boşluğunun gigiyenası və ya uşağın

Ardı